Le Cabinet Médical Nation recherche, en vue d'une installation :
Fibrome utérin
- Affichages : 164726
Définition
Un fibrome utérin est une tumeur bénigne développée à partir des fibres musculaires de l’utérus. Un fibrome peut être unique ou multiple. En fonction de leur taille, de leur localisation et de leur nombre, les fibromes peuvent être à l’origine de nombreuses pathologies gynécologiques. Le fibrome utérin est appelé également Myome ou Léiomyome utérin.
Fréquence
Le fibrome utérin constitue la tumeur bénigne la plus fréquente de la femme en âge de procréer. Il est plus fréquent chez les femmes âgées de 40 à 50 ans. Sa fréquence est estimée à 20 % des femmes de plus de 35 ans et à 40 % des femmes de plus de 50 ans. Cette pathologie est plus fréquente chez les femmes noires (Afrique, Antilles). La plupart des fibromes sont asymptomatiques (ne présentent aucun symptôme) et sont découverts lors d’une consultation gynécologique systématique.
Description
En fonction du nombre, de la taille et du poids :
Un fibrome peut être unique ou multiple (allant jusqu’à plusieurs dizaines de fibromes). La taille des fibromes est variable. Elle peut aller de quelques millimètres à plusieurs dizaines de centimètres. De même, leur poids peut varier de quelques grammes à plusieurs kilogrammes.
En fonction de la localisation - classification des fibromes :
Classification FIGO 2011 des myomes utérins (PALM-COEIN)
En fonction de leur siège anatomique, on distingue, de l’intérieur vers l’extérieur du corps utérin :
- Fibrome sous-muqueux (ou fibrome intra-cavitaire) : Le fibrome est situé dans la cavité utérine, recouvert par l’endomètre (muqueuse utérine). Les fibromes sous-muqueux peuvent être pédiculés (présentant un pied d’insertion) ou sessiles (présentant une large base d’implantation). La composante sous-muqueuse des fibromes sessiles peut être plus ou moins importante. Plus la composante sous-muqueuse est faible, plus leur composante interstitielle est importante (type 0 : intra cavitaire pure ; type 1 : à prédominance sous muqueuse ; type 2 : à prédominance interstitielle).

- Fibrome interstitiel (ou fibrome intra-mural) : Le fibrome est entièrement situé dans l’épaisseur du muscle utérin.

- Fibrome sous-séreux : Le fibrome fait sailli à la surface externe de l’utérus et se développe dans la cavité péritonéale. Les fibromes sous-séreux peuvent être pédiculés (présentant un pied d’insertion) ou sessiles (présentant une large base d’implantation).

Plus rarement, un fibrome peut se développer dans l’isthme ou dans le col utérins. Il peuvent également siéger dans les ligaments de soutient de l’utérus (ligaments larges, ligaments ronds) ou dans les ovaires.


Modalités de formation - Physiopathologie des fibromes
Les fibromes utérins sont des tumeurs bénignes, formées de cellules musculaires lisses entourées de fibres collagènes et d’une pseudo capsule. La formation des fibromes dépend de plusieurs facteurs :
- Transmission génétique et familiale : il existe un terrain familial (lien du 1er degré) et ethnique (femmes noires) favorisant le développement des fibromes ;
- Facteurs hormonaux : Les Oestrogènes et la Progestérone favorisent probablement la croissance des fibromes ;
- L’obésité augmente légèrement le risque ;
- La parité : la survenue d’une ou de plusieurs grossesses, réduit le risque d’apparition de fibromes.
Mode de découverte - Signes cliniques
La plupart des fibromes sont asymptomatiques (ne présentent aucun symptôme) et sont découverts lors d’une consultation gynécologique systématique. Lorsqu’ils deviennent volumineux ou lorsqu’ils sont mal placés, les fibromes peuvent être à l’origine de nombreuses pathologies gynécologiques :
- Douleur pelvienne : Il s’agit d’une douleur pelvienne chronique, de la sensation d’une pesanteur pelvienne. Ces douleurs peuvent être majorées par un épisode aigu : torsion d’un fibrome pédiculé (le fibrome tourne autour de lui-même grâce à son pédicule), nécrobiose de fibrome (nécrose aigue du fibrome liée à sa mauvaise vascularisation sanguine).
- Ménorragies : Augmentation de la durée et de l’abondance des règles, à l’origine d’une anémie par carence en fer.
- Métrorragies : Survenue d’un saignement en dehors de la période des règles.
- Compression d’organes de voisinage : Compression vésicale (vessie) à l’origine d’une pollakiurie (mictions très fréquentes) ou d’un globe vésical (rétention d’urines) ; compression urétérale (uretères) à l’origine d’une dilatation des uretères et des cavités rénales ; compression rectale (rectum) à l’origine d’une constipation ou de fausses envies d'aller à la selle.
- Infertilité : Par obstruction des trompes utérines (compression de la portion utérine des trompes) ou par obstacle à l’implantation de l’embryon (fibrome sous-muqueux).
- Apparition d’une masse pelvienne ou augmentation du volume de l’abdomen.
- Dyspareunie : Douleur pelvienne lors des rapports sexuels.
- Dysménorrhée : Règles douloureuses.
Comment fait-on le diagnostic ?
La présence de fibromes est évoquée par les signes cliniques et par le contexte. L’examen clinique (palpation abdominale, toucher vaginal) peut orienter vers le diagnostic, en retrouvant un utérus augmenté de volume, bosselé. Le diagnostic sera posé après la réalisation de certains examens :
- Échographie pelvienne (par voie pelvienne ou par voie endo vaginale) : C’est l’examen de référence. Basée sur l’émission d’ultrasons, l’échographie permet de mesurer la taille des fibromes, leur nombre ainsi que de préciser leur localisation. Une cartographie détaillée des fibromes permet de faciliter le choix thérapeutique et le geste chirurgical.
- Hystéroscopie diagnostique : L’examen visuel des la cavité utérine à l’aide d’une mini caméra permet de poser le diagnostique d’un fibrome sous-muqueux. L’hystéroscopie diagnostique est indispensable avant d’envisager une résection chirurgicale d’un fibrome sous-muqueux. Elle permet d’apprécier le type d’insertion du fibrome (pédiculé ou sessile), l’importance de sa composante sous-muqueuse, sa taille et sa résectabilité. Une cartographie détaillée du fibrome permet de faciliter le choix thérapeutique et le geste chirurgical.
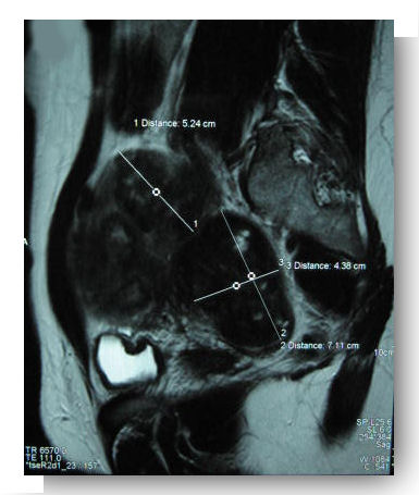
- IRM pelvienne : Une imagerie par résonance magnétique permet de compléter le bilan en cas de doute diagnostique (fibrosarcome utérin) et d’établir une cartographie utérine en cas de fibromes multiples.


- Hystérosalpingographie : Dans un contexte d’infertilité associée à la présence de fibromes utérins, l’hystérosalpingographie permet de savoir si les fibromes sont responsables d’une obstruction des trompes utérines.
Fibrome et grossesse
La plupart des grossesses menées chez des femmes porteuses d’un utérus fibromateux se déroulent tout à fait normalement. Parfois, les fibromes peuvent compliquer la grossesse :
- Douleur pelvienne à type de contractions utérines, en rapport avec une torsion d’un fibrome pédiculé (le fibrome tourne autour de lui-même grâce à son pédicule) ou avec une nécrobiose de fibrome (nécrose aigue du fibrome liée à sa mauvaise vascularisation sanguine).
- Compression d’organes de voisinage (encore plus accentuée chez la femme enceinte du fait du volume utérin) : compression vésicale (vessie) à l’origine d’une pollakiurie (mictions très fréquentes) ; compression urétérale (uretères) à l’origine d’une dilatation des uretères et des cavités rénales ; compression rectale (rectum) à l’origine d’une constipation ou de fausses envies d'aller à la selle.
- Augmentation du volume des fibromes sous l’effet des sécrétions hormonales de la grossesse.
- Fausse couche à répétition : C’est le cas essentiellement des fibromes sous-muqueux faisant un effet « corps étranger » et qui provoquent l’expulsion d’une grossesse débutante.
- Fausse couche tardive : Expulsion du fœtus avant qu’il ne soit viable.
- Accouchement prématuré : Accouchement survenant avant le terme de la grossesse, lié à la survenue de contractions utérines prématurées, à la compression du fœtus par les fibromes ou à une rupture prématurée de la poche des eaux.
- Obstacle previae à l’accouchement : Lorsque le fibrome est placé dans le col ou dans l’isthme utérin, il peut empêcher la descente du mobile fœtal lors de l’accouchement.
- Présentation dystocique : Anomalie de présentation de l’enfant à naître en fin de grossesse, avec une présentation du siège ou une présentation transverse du fœtus.
- Hémorragie de la délivrance : Due à une mauvaise rétraction utérine après l’accouchement.
Évolution
Plusieurs évolutions des fibromes sont possibles :
- Stabilité dans le temps, les fibromes restants asymptomatiques.
- Augmentation du volume des fibromes, spontanée, ou favorisée par une grossesse ou par la prise d’un traitement hormonal de la ménopause.
- Transformation du fibrome sous forme de calcification, de nécrobiose aseptique (ischémie ou infarctus du fibrome par absence de vascularisation), de cavitation (transformation kystique), torsion, expulsion (en cas de fibrome accouché par le col).
- Régression voire disparition des fibromes après la ménopause du fait de la suppression de la production d’hormones oestrogènes.
- Pas d’évolution démontrée vers une tumeur maligne (fibrosarcome).
Contraception oestro-progestative et tumeur bénigne du sein et de l'utérus
Les pathologies bénignes du sein et de l'utérus ne sont pas en soi une indication aux oestro-progestatifs (en l'absence d'atypies) sous réserve d'une évaluation de la balance bénéfice-risque.
Traitement
Les fibromes utérins ne doivent être traités uniquement lorsqu’ils sont symptomatiques (douleurs, saignement etc…) ou lorsqu’ils risquent de se compliquer (compression, torsion etc…). Rappelons que la majorité des fibromes est de petite taille et reste asymptomatique. Dans ce cas, ils seront simplement surveillés régulièrement par échographie.
Traitement médical
Le traitement médical des fibromes est indiqué essentiellement chez les femmes désirant avoir un enfant ou présentant des symptômes de faible à moyenne gravité.
Les progestatifs
Les traitements à base de Progestérone peuvent avoir un effet en diminuant l’abondance du saignement. Les ménorragies (règles abondantes) sont souvent liées dans ce contexte à une hypertrophie associée de l’endomètre (augmentation de l’épaisseur de la muqueuse utérine). Par leur effet, les progestatifs créent une atrophie de l’endomètre (diminution de l’épaisseur de la muqueuse utérine). Ils n’ont pas d’effet sur le volume ou sur l’évolution des fibromes. Au mieux, ils permettent de stabiliser temporairement leur évolution. Les progestatifs sont prescrits du 15ème au 25ème jour du cycle, et du 5ème au 25ème jour si un effet contraceptif est souhaité.
Analogues de la LHRH
En supprimant toute sécrétion hormonale d’oestrogènes (ménopause artificielle), les analogues de la LHRH permettent :
- La diminution voire l’arrêt des saignements après 1 mois de traitement.
- La réduction d’environ 50 % de la taille des fibromes après 3 mois de traitement.
Par leur action, ces traitements provoquent une ménopause transitoire avec tous les symptômes qui l’accompagnent : bouffées de chaleur, baisse de la libido, sécheresse vaginale etc. Les analogues de la LHRH ne sont utilisés qu’en pré opératoire afin de faciliter le geste chirurgical.
Embolisation
L’embolisation correspond à l’interruption de la vascularisation des fibromes par le largage de micro particules dans les artères utérines. L’embolisation est pratiquée par un radiologue, dans un service de radiologie interventionnelle. A l’aide d’un cathéter introduit dans les artères fémorales, le radiologue interrompt la circulation dans l’artère qui alimente le fibrome en y larguant des petites particules. L’embolisation peut être effectuée :
- A visée pré opératoire : en diminuant la vascularisation des fibromes, le geste chirurgical est facilité par la diminution de l’abondance du saignement.
- A visée définitive : Cette technique est réservée aux fibromes interstitiels. Elle permet la réduction de la taille des fibromes et la diminution de l’abondance des saignements. Elle risque en revanche de provoquer une ménopause précoce ou des complications infectieuses sévères au niveau de l’utérus.
Traitement chirurgical
Le traitement chirurgical des fibromes est indiqué essentiellement chez les femmes ne désirant plus avoir un enfant ; présentant des symptômes de moyenne à forte gravité (saignement abondant, compression, volume important des fibromes, augmentation rapide de la taille des fibromes etc…) ou après échec du traitement médical.
Myomectomie
L’ablation chirurgicale des fibromes ou myomectomie, correspond à une intervention chirurgicale, effectuée sous anesthésie générale ou sous analgésie péridurale. Il ne s’agit pas d’un traitement définitif, car il existe un risque d’apparition de nouveaux fibromes. Plusieurs voies d’abord chirurgicales sont possibles. La voie d’abord est choisie lors de la consultation avec le chirurgien, en fonction de la localisation des fibromes, de leur taille, de leur nombre, de l’âge de la patiente et de son désir de grossesse :
- Résection par hystéroscopie opératoire : l’indication de choix est celle d’un fibrome sous-muqueux, pédiculé, de taille inférieure à 30 mm, avec un mur de sécurité postérieur supérieur à 5 mm. Pour les fibromes de 30 à 50 mm, ou pour ceux qui ont une composante interstitielle, la résection peut être incomplète et nécessiter un deuxième temps opératoire à distance de l’intervention initiale.
- Myomectomie par voie vaginale : l’indication de choix est celle d’un fibrome pédiculé accouché par le col, d’un fibrome du col ou d’un fibrome sous séreux pédiculé bas situé et accessible par le vagin.
- Myomectomie par coelioscopie : l’indication principale est celle des fibromes sous séreux, de petite à moyenne taille (inférieure à 8 cm), de nombre inférieur à 3. L’avantage de la coelioscopie est la petite taille des cicatrices, la possibilité d’explorer le pelvis en cas d’infertilité associée et le faible risque d’adhérences post opératoires.
- Myomectomie par laparotomie : cette technique est réservée aux volumineux fibromes ou aux utérus poly fibromateux, de siège interstitiel ou sous séreux.
Hystérectomie
Il s’agit là d’un traitement radical et définitif. L’hystérectomie est réservée aux femmes ne désirant plus de grossesse et présentant des symptômes majeurs (hémorragie, douleur, compression etc…). Elle peut être associée à l’ablation des ovaires en cas de pathologie ovarienne associée (kystes, endométriose etc.). Elle peut être pratiquée par voie vaginale, par voie coelio vaginale ou par laparotomie. Les fibromes utérins constituent la première cause d’hystérectomie en France.
Informations pratiques - Fibromes
- La présence de fibromes ne contre indique pas la prise d’une contraception orale par pilule oestroprogestative.
- La pose d’un stérilet est contre indiquée en cas de fibrome sous muqueux ou lorsque la cavité utérine est très augmentée de volume ou étirée par les fibromes.
- Un traitement préalable par du fer est souvent nécessaire avant toute chirurgie pour fibrome afin de corriger une éventuelle anémie due aux saignements. Le degré de profondeur d’une anémie est évalué par une numération formule sanguine.
Anglais
Uterine fibroid



